Técnicas quirúrgicas en el Pectus Carinatum

La cirugía se basa en la técnica de Ravitch. El objetivo de la cirugía es poner a plano la pared torácica, realizando, a demanda de la deformidad, las estereotomías necesarias y la resección subpericondral de los cartílagos paraesternales afectados. Hay diversas variantes al igual que sistemas de fijación intraoperatorios con placas metálicas o de materiales absorbibles. Los sistemas de fijación le dan estabilidad a la cirugía y hacen un postoperatorio menos doloroso. También es posible no realizar fijaciones, colocando sólo la musculatura pectoral sobre el complejo esternón-cartílagos una vez reparado.

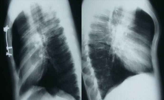
En los tipos condrogladiolares se puede llevar a cabo una técnica minimamente invasiva descrita por Abramson similar a la desarrollada por Nuss pero a la inversa. Se coloca una férula metálica subcutánea que reduce la protusión y se fija con unos estabilizadores laterales a la pared torácica.

Hay que destacar también, la resección toracoscópica de los cartílagos paraesternales por vía endotorácica que comienza a llevarse a cabo en algunos centros; son procedimientos muy novedosos que  conllevan una ausencia de cicatrices y una mayor confortabilidad para el paciente.

El postoperatorio de estas operaciones es normalmente bien tolerado y los resultados son más estables cuanto más cerca de la pubertad se lleva a cabo la cirugía.

Síguenos en Facebook Síguenos en Twitter